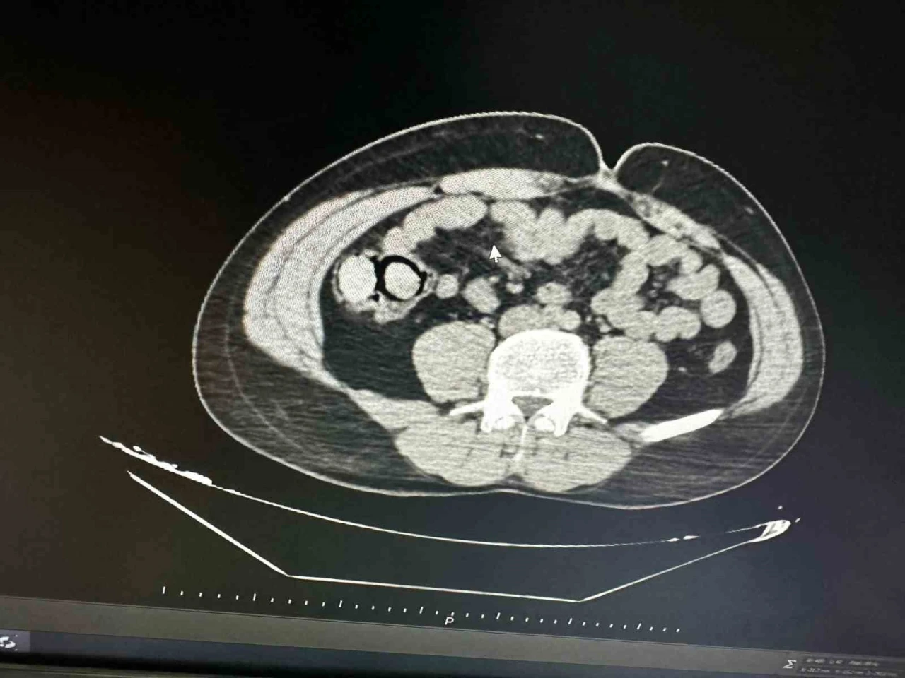
Bingöl’de akıllara durgunluk veren bir olay gerçekleşti. Otobüs yolculuğu sırasında polis ekiplerince durdurulan yabancı uyruklu iki şahsın midesinden 10 parça halinde 113 gram metamfetamin çıktı.
Bingöl Emniyet Müdürlüğü Narkotik Suçlarla Mücadele Şube Müdürlüğüne bağlı narko-timleri akıllara durgunluk veren bir uyuşturucu kaçakçılığını çözdü. Ekiplerin çalışmaları neticesinde otobüs ile Bingöl’e gelen şüpheli yabancı uyruklu 2 şahsın iç beden muayenesinde 10 parça halinde 113 gram metamfetamin maddesi tespit edildi. Emniyetteki işlemlerinin ardından mahkemeye çıkarılan 2 şahıs, uyuşturucu madde ticareti yapmak suçundan tutuklanarak Elazığ Kapalı ceza infaz kurumuna teslim edildi.

